Salud

La OMS reporta más de 3100 casos de viruela del mono a nivel mundial en el mes de septiembre
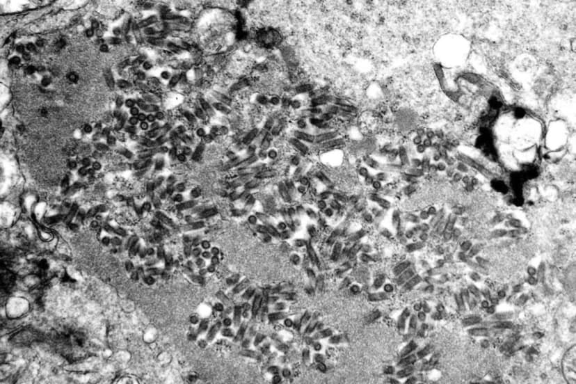
En septiembre se confirmaron 3135 casos de viruela del simio en todo el mundo, de los cuales más del 80 % se registraron en la región africana, informó la Organización Mundial de la Salud (OMS) en un informe publicado el 30 de octubre.

Noticias sobre salud
FDA toma medidas para limitar productos de flúor ingeribles para niños
Por

Noticias sobre salud
Cuatro ejercicios excéntricos para la fuerza y flexibilidad
Por
Vacunas y Seguridad

Director interino de los CDC pide a los fabricantes que distribuyan la vacuna MMR en dosis separadas
Por

Menos de la mitad de los adultos consideran que vacuna contra COVID es segura durante embarazo: encuesta
Por

Encuesta del Epoch Times: Lectores opinan sobre el autismo, el Tylenol y las vacunas
Por

Calendario de vacunación finalmente en el punto de mira
Por
Covid-19

Los CDC dicen que la vacunación contra COVID-19 ahora depende de cada individuo
Por

Condado de California restablece uso obligatorio de mascarillas en determinados centros de salud
Por

Menos de la mitad de los adultos consideran que vacuna contra COVID es segura durante embarazo: encuesta
Por

La FDA está considerando evaluar de forma independiente vacunas contra COVID por contaminación de ADN
Por


Informes Premium sobre salud
48
La caída del cabello es un signo de desequilibrios internos que la medicina natural puede revertir
Medicina Natural o Alternativa

Opiniones de Salud
Calambres musculares: Dos soluciones sencillas y tés de hierbas que pueden ayudar
Por

Medicina tradicional china
Desbloqueando un poderoso punto de acupuntura, aliado en el tratamiento de trastornos digestivos
Por

Medicina Natural o Alternativa
Alimento básico de la despensa ayuda a combatir el ácido, la inflamación y las enfermedades
Por

Medicina Natural o Alternativa
Herbolario recomienda remedios naturales para los problemas de sueño
Por

Medicina Natural o Alternativa
Utilice este punto de acupuntura para apoyar su estómago en crisis
Por

Medicina Natural o Alternativa
Primeros auxilios naturales: Cómo las hierbas aceleran la curación de fracturas y alivian el dolor
Por

Medicina Natural o Alternativa
Cómo integrar la medicina herbal en el tratamiento para obtener beneficios adicionales
Por

Medicina Natural o Alternativa
Cómo la "Atención Plena" desconecta el sentido del yo del sentimiento de dolor
Por

Opiniones de Salud
Los niños no pueden concentrarse
All mine, Lie again, Petty call me everyday, Out of time, No love, Bad habit, and so much more
Por
Top

Beber más de una lata de refresco al día está relacionado con enfermedades hepáticas
Por

La ilusión de la seguridad: Cómo la burocracia está acabando con nuestra salud y nuestra libertad
Por

Las vacunas de ARNm no son la única respuesta y eso es positivo
Por
Opiniones de Salud

¿La IA se comerá nuestros cerebros?
Por

Un punto de acupuntura esencial para todas las mujeres: Li Gou (LR5)
Por

Ben Carson opina sobre el uso de Tylenol durante el embarazo
Por

Calendario de vacunación finalmente en el punto de mira
Por

Calambres musculares: Dos soluciones sencillas y tés de hierbas que pueden ayudar
Por

Active todo su cuerpo con estos 5 ejercicios de balanceo y péndulo
Por
Salud Mental

Mentalidad
Cinco maneras de romper con una vida aburrida
Por

Salud mental
5 formas de alegrar su día
Por

Mentalidad
Cómo me liberé de la parálisis del perfeccionismo
Por

Salud mental
Por qué los expertos están explorando la terapia cetogénica para la salud mental
Por
Alimentación y Nutrición

Alimentación y nutrición
Cómo acelerar o ralentizar la maduración de frutas y verduras
Por

Alimentación y nutrición
Las bebidas funcionales prometen más que energía: Cómo identificar las mejores
Por

Alimentación y nutrición
Cómo aprovechar los sorprendentes beneficios saludables de los granos germinados
Por

Alimentación y nutrición
Montaña rusa energética: Cómo la hipoglucemia oculta altera la vida cotidiana de las mujeres
Por


























